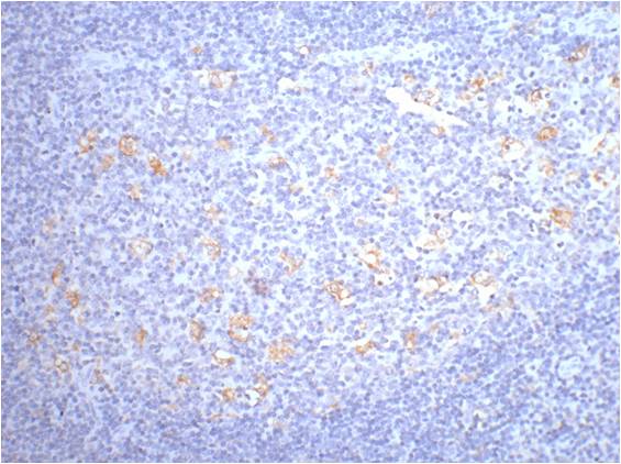
CD68 Mouse mAb
Size:50μL、100μL
Applications:IHC
Size:50μL、100μL
Applications:IHC
Size:50μL、100μL
Applications:IHC
Size:50μL、100μL
Applications:WB, IHC, IF
Size:50μL、100μL
Applications:WB, IHC, IP
Size:50μL、100μL
Applications:WB, IHC
Size:50μL、100μL
Applications:IHC
Size:50μL、100μL
Applications:WB, IHC
Size:50μL、100μL
Applications:IHC, IF
關(guān)注微信公眾號