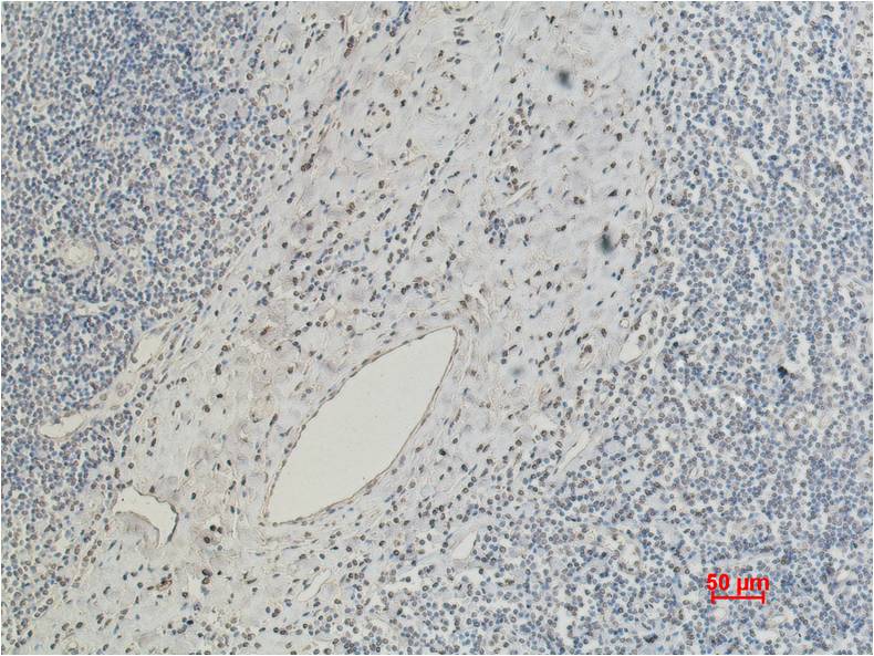
MAP2 Mouse mAb
Size:50μL、100μL
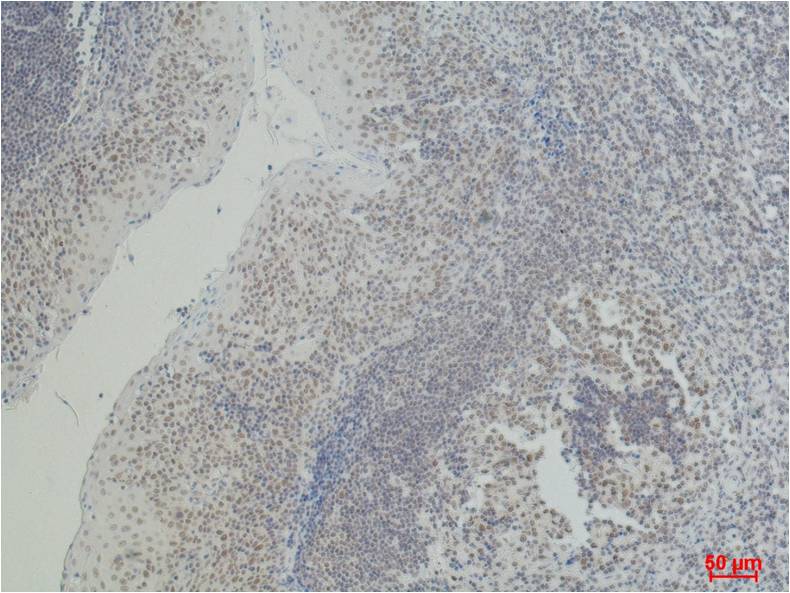
Applications:IHC
Size:50μL、100μL
Applications:IHC
Size:50μL、100μL
Applications:IHC
Size:50μL、100μL
Applications:IHC
Size:50μL、100μL
Applications:IHC
Size:50μL、100μL
Applications:IHC
Size:50μL、100μL
Applications:IHC
Size:50μL、100μL
Applications:WB, IF
Size:50μL、100μL
Applications:WB, IHC
關注微信公眾號